關閉
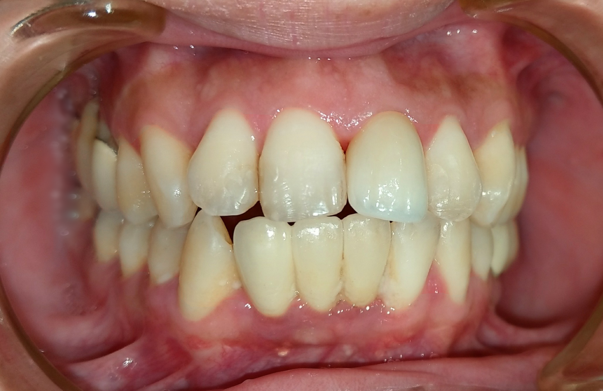
左上正中門牙因牙齒外傷造成牙髓炎,在移除舊的填補材料後,有發現大範圍蛀牙。
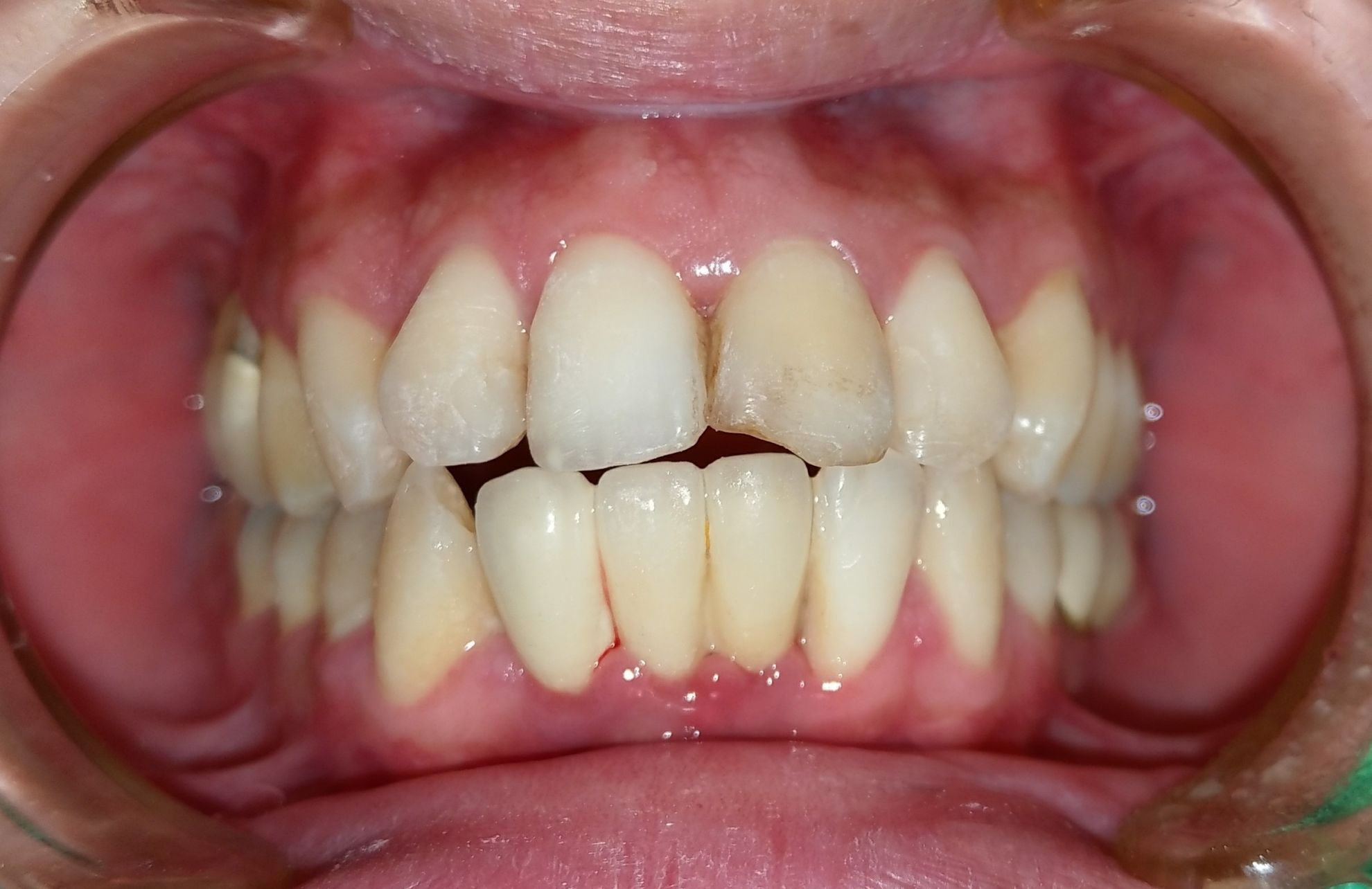
經根管治療後,以顯微鏡及數位口掃方式製作全瓷冠。
 

在顯微鏡放大視野下修磨牙齒,確保視野足夠清晰

前牙全瓷冠 ft.郭子睿醫師

 

以數位口掃評估牙齒軸向及外型

前牙全瓷冠 ft.郭子睿醫師

案例照

 

前牙全瓷冠 ft.郭子睿醫師
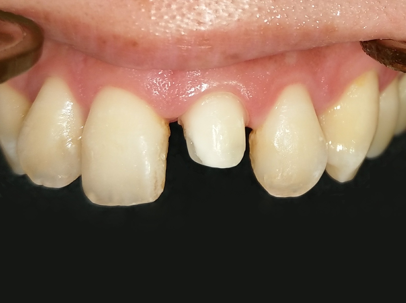
裝上全瓷冠前
前牙全瓷冠 ft.郭子睿醫師
裝上全瓷冠後

 

前牙全瓷冠 ft.郭子睿醫師
術前照
前牙全瓷冠 ft.郭子睿醫師
術後照
關閉