關於立悅
服務項目
全瓷美學
數位植牙
微創牙周
隱形矯正
全口重建
顯微根管
兒童牙科
口腔外科
假牙贋復
團隊介紹
案例分享
假牙贋復
口腔外科
兒童保健
顯微根管
全口重建
隱形矯正
微創牙周
數位植牙
全瓷美學
設備環境
衛教專區
最新消息
聯絡我們
關於立悅
服務項目
+
–
全瓷美學
數位植牙
微創牙周
隱形矯正
全口重建
顯微根管
兒童牙科
口腔外科
假牙贋復
團隊介紹
案例分享
+
–
假牙贋復
口腔外科
兒童保健
顯微根管
全口重建
隱形矯正
微創牙周
數位植牙
全瓷美學
設備環境
衛教專區
最新消息
聯絡我們
關閉
全瓷美學
首頁
/
案例分享
/
全瓷美學
前牙貼片-門牙關縫 ft.郭子睿醫師
前牙貼片-門牙關縫
陶瓷嵌體 ft.郭子睿醫師
陶瓷嵌體案例
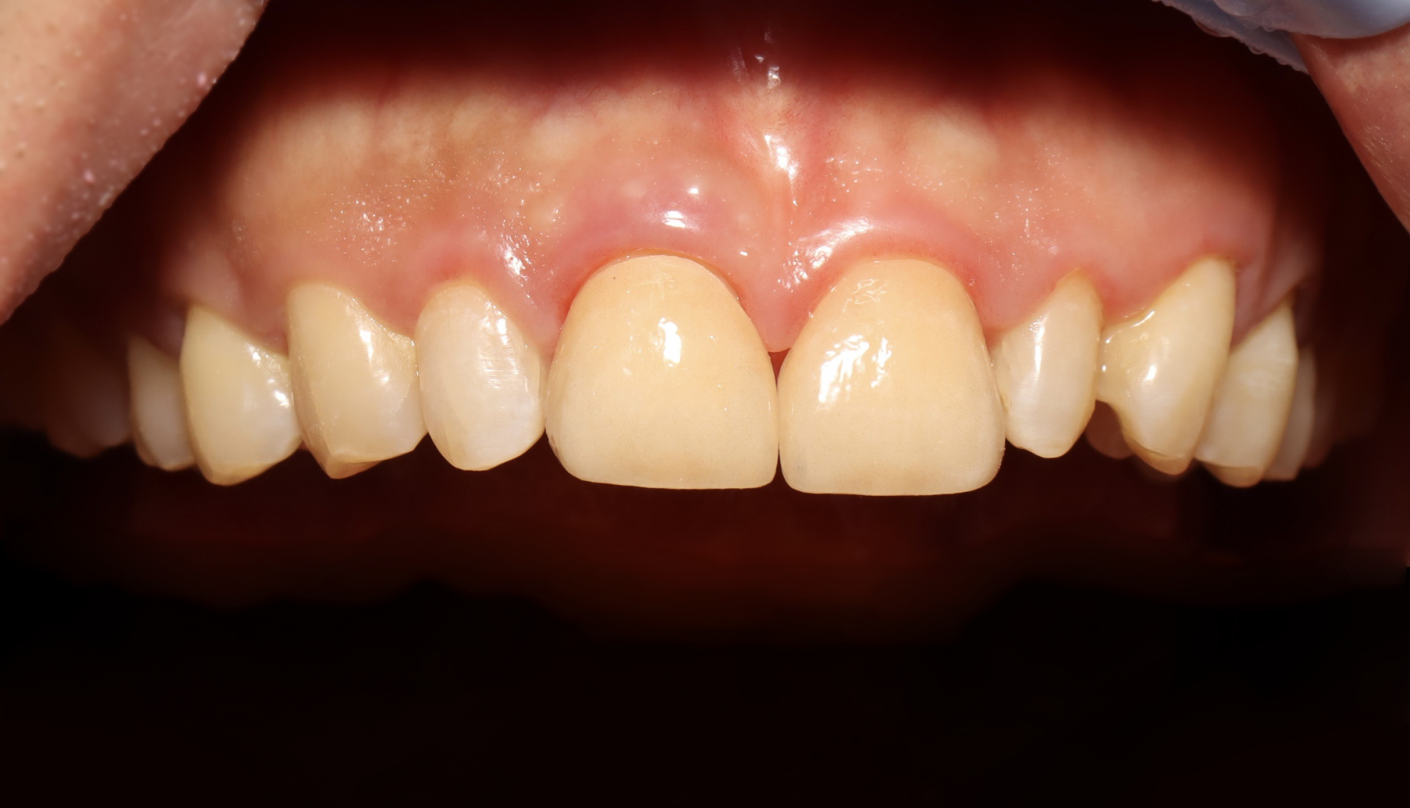
前牙全瓷冠 ft.郭子睿醫師
前牙全瓷冠案例
前牙貼片 ft.林錫奎醫師
前牙貼片
前牙貼片-牙齒變色 ft.林錫奎醫師
前牙貼片-牙齒變色
仿真貼片 FT.江松岳醫師
仿真貼片
美白貼片 FT.江松岳醫師
美白貼片案例
陶瓷嵌體 FT.江松岳醫師
陶瓷嵌體案例
陶瓷嵌體 FT.吳琞淳醫師
陶瓷嵌體案例
關閉