關於立悅
服務項目
全瓷美學
數位植牙
微創牙周
隱形矯正
全口重建
顯微根管
兒童牙科
口腔外科
假牙贋復
團隊介紹
案例分享
假牙贋復
口腔外科
兒童保健
顯微根管
全口重建
隱形矯正
微創牙周
數位植牙
全瓷美學
設備環境
衛教專區
最新消息
聯絡我們
關於立悅
服務項目
+
–
全瓷美學
數位植牙
微創牙周
隱形矯正
全口重建
顯微根管
兒童牙科
口腔外科
假牙贋復
團隊介紹
案例分享
+
–
假牙贋復
口腔外科
兒童保健
顯微根管
全口重建
隱形矯正
微創牙周
數位植牙
全瓷美學
設備環境
衛教專區
最新消息
聯絡我們
關閉
全口重建
首頁
/
案例分享
/
全口重建
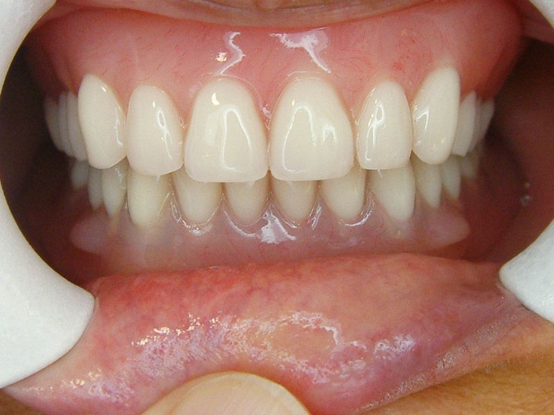
全口重建 FT.林錫奎醫師
全口重建案例
上:半口活動義齒 下:兩顆植體覆蓋式活動義齒 ft.林錫奎醫師
上:半口活動義齒 下:兩顆植體覆蓋式活動義齒
關閉