關於立悅
服務項目
全瓷美學
數位植牙
微創牙周
隱形矯正
全口重建
顯微根管
兒童牙科
口腔外科
假牙贋復
團隊介紹
案例分享
假牙贋復
口腔外科
兒童保健
顯微根管
全口重建
隱形矯正
微創牙周
數位植牙
全瓷美學
設備環境
衛教專區
最新消息
聯絡我們
關於立悅
服務項目
+
–
全瓷美學
數位植牙
微創牙周
隱形矯正
全口重建
顯微根管
兒童牙科
口腔外科
假牙贋復
團隊介紹
案例分享
+
–
假牙贋復
口腔外科
兒童保健
顯微根管
全口重建
隱形矯正
微創牙周
數位植牙
全瓷美學
設備環境
衛教專區
最新消息
聯絡我們
關閉
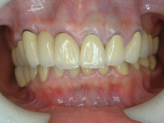
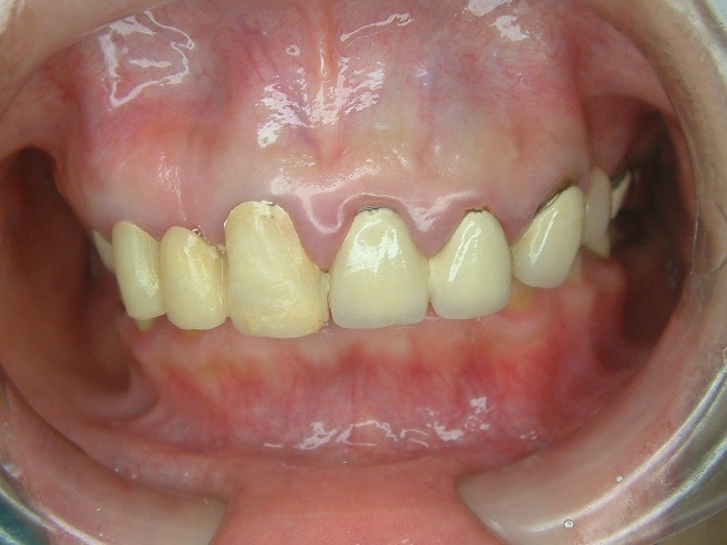
全口重建 FT.林錫奎醫師
首頁
/
案例分享
/
全口重建
/
全口重建 FT.林錫奎醫師
術前
術後兩年
分享到
關閉