關於立悅
服務項目
全瓷美學
數位植牙
微創牙周
隱形矯正
全口重建
顯微根管
兒童牙科
口腔外科
假牙贋復
團隊介紹
案例分享
假牙贋復
口腔外科
兒童保健
顯微根管
全口重建
隱形矯正
微創牙周
數位植牙
全瓷美學
設備環境
衛教專區
最新消息
聯絡我們
關於立悅
服務項目
+
–
全瓷美學
數位植牙
微創牙周
隱形矯正
全口重建
顯微根管
兒童牙科
口腔外科
假牙贋復
團隊介紹
案例分享
+
–
假牙贋復
口腔外科
兒童保健
顯微根管
全口重建
隱形矯正
微創牙周
數位植牙
全瓷美學
設備環境
衛教專區
最新消息
聯絡我們
關閉
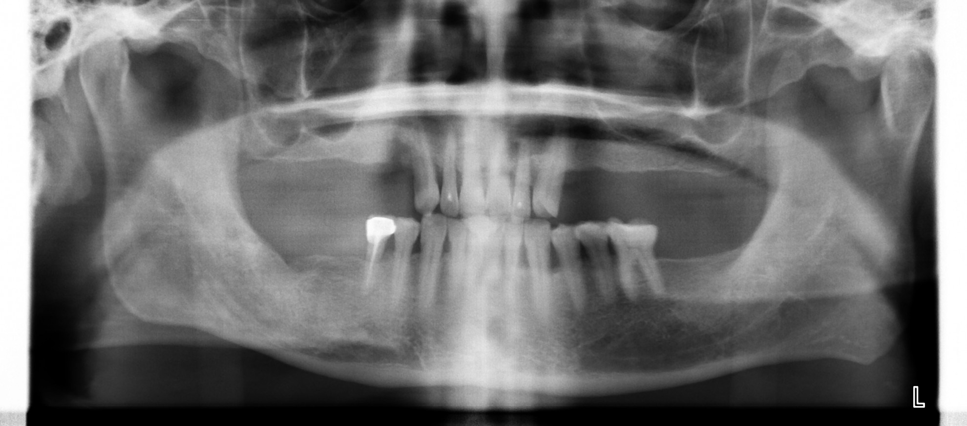
植牙重建合併側窗鼻竇增高 FT.江松岳醫師
首頁
/
案例分享
/
數位植牙
/
植牙重建合併側窗鼻竇增高 FT.江松岳醫師
此案例利用植牙建立病人缺牙區的咬合。右上後牙區域齒槽骨高度不足且鄰近鼻竇,採取側窗鼻竇增高術後植牙。
分享到
關閉