關於立悅
服務項目
全瓷美學
數位植牙
微創牙周
隱形矯正
全口重建
顯微根管
兒童牙科
口腔外科
假牙贋復
團隊介紹
案例分享
假牙贋復
口腔外科
兒童保健
顯微根管
全口重建
隱形矯正
微創牙周
數位植牙
全瓷美學
設備環境
衛教專區
最新消息
聯絡我們
關於立悅
服務項目
+
–
全瓷美學
數位植牙
微創牙周
隱形矯正
全口重建
顯微根管
兒童牙科
口腔外科
假牙贋復
團隊介紹
案例分享
+
–
假牙贋復
口腔外科
兒童保健
顯微根管
全口重建
隱形矯正
微創牙周
數位植牙
全瓷美學
設備環境
衛教專區
最新消息
聯絡我們
關閉
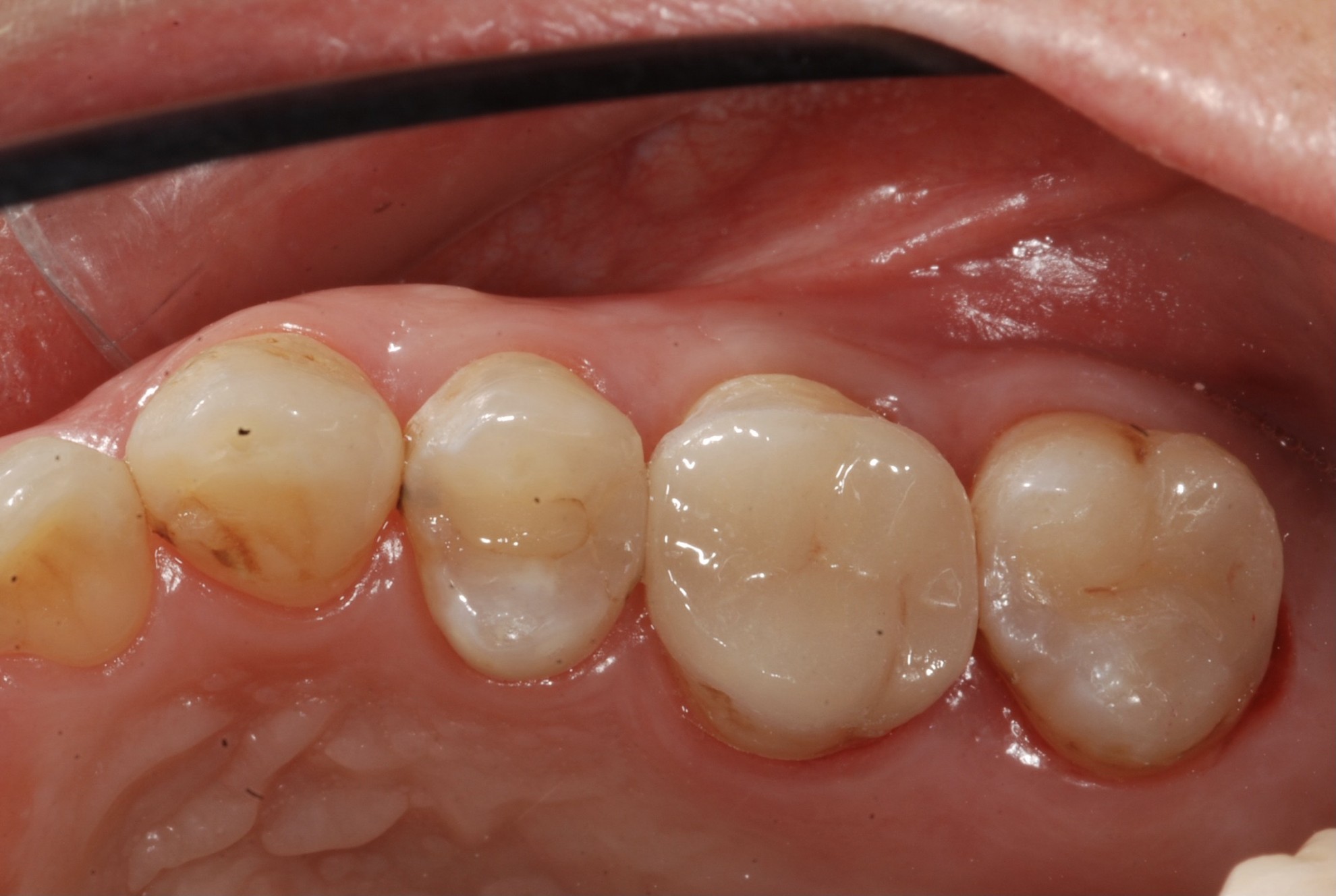
陶瓷嵌體 FT.江松岳醫師
首頁
/
案例分享
/
全瓷美學
/
陶瓷嵌體 FT.江松岳醫師
陶瓷嵌體
右上兩顆大臼齒因大範圍蛀牙,採取陶瓷嵌體修復,
不犧牲過多齒質下恢復自然牙型態。
分享到
關閉